Fale Comigo
Whatsapp

infeccao-do-trato-urinario

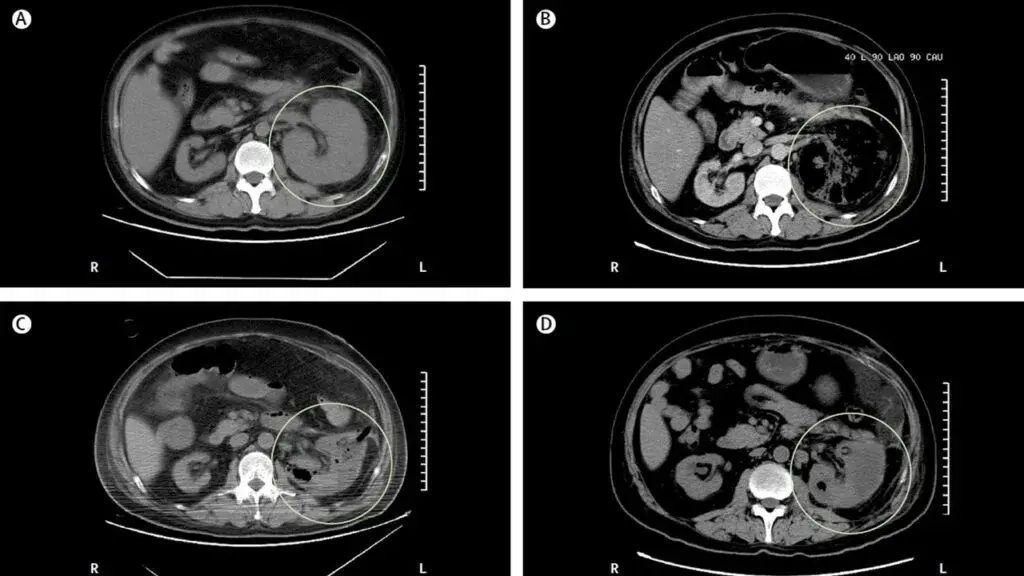
Mudança dinâmica do tamanho renal?

Valkercyo Feitosa

2023-02-15

Recomendação de posts Nefroupdates